고신대학교 병원 신경과 박윤아
이전 협심증과 고혈압 이외의 특이 병력이 없던 환자가 기억력 저하를 주소로 외래에 내원하였다. 기억력
저하는 약 2개월 전부터 시작되었다고 하며, 내원 당시에 일상 생활에는 큰 문제가 없었으나 물건을 자주
놓고 다니는 등 잔실수가 많아진다고 호소하였다. 치매나 기타 신경학적 질환의 가족력은 확인되지
않았으며, 당시 신체적 검진 상에서는 의식은 명료하였으며 서동증, 안정시 손떨림 및 경직 등 기타
이상소견은 확인되지 않았다.
환자의 학력은 고졸이었으며, 환자의 주소에 대하여 시행한 K-MMSE(Korean version of Mini-Mental
Status Exam)는 25점으로 2.3 percentile로 저하된 소견을 보였다. 추가적으로 시행한 SNSB (Seoul
Neuropsychological Screening Battery) 에서는 전두엽 집행 기능이 1.33 percentile로 저하되었으나
일상 생활에는 큰 이상이 확인되지 않는 상태로 비기억성 경도인지장애로 진단하였다.
약 2개월 뒤 환자는 손떨림을 본다는 것을 주소로 외래에 재내원하였다. 보호자는 이전에 비하여 기억력이
더 악화되었고, 거울 속의 상을 보고 본인이 또 있다고 이야기를 하고 종종 헛 것을 보기 시작하였다고
호소하였다. 환자는 이전에는 관찰되지 않았던 안정시 손떨림과 경직, 서동증을 보였으며, 보행시 팔
흔들림이 감소하는 소견과 체위 불안정성이 관찰되어 H&Y stage 2.5로 판단되었다. 내원 당시 환자는
파킨슨을 유발할 수 있는 다른 약물은 투약 하지 않고 있었다. 심부건 반사는 정상이었으며 기타 병적
반사는 관찰되지 않았다. 혈액검사와 화학 검사, 면역 항체 검사 및 소변 검사를 포함한 실험실 검사에서도
특이 소견을 보이지 않았다.
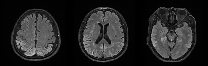
입원 후 시행한 뇌자기공명영상에서는 FLAIR에서 측두엽과 두정엽에서 대뇌 겉질의 고 신호 강도를
보이는 병변이 관찰되었으나 기저핵에서는 병변이 관찰되지 않았다. FP-CIT PET 영상에서는 정상 소견을
보였다. 또한 뇌파 검사 상에서는 양측 전두엽에서 세타 파와 델타 파가 관찰되었으나 주기적 극파는
관찰되지 않았다. 추가적으로 시행한 K-MMSE에서 22점이 확인되어 이전에 비하여 저하된 소견을
보였다.

뇌척수액 천자 상에서는 적혈구나 백혈구는 관찰되지 않았으나 추가적인 분석에서 14-3-3 단백이 양성으로 확인되어, 이에 Probable Sporadic Creutzfeldt-Jakob Disease(sCJD)로 진단하였다.
CJD는 매우 드물지만 빠르게 진행하는 치매의 경우 반드시 고려해야 하는 감별 진단 중 하나이다. 그러나
현재까지의 진단 기준에 따르면 definite sCJD의 진단에는 반드시 뇌 조직검사를 통한 병리학적 소견이
필요하다. Probable sCJD의 진단 또한 무동무언증이나 근간대 경련 등 진행이 된 이후의 질병 양상에
좀더 중점을 두고 있으며, 진단에 도움이 된다고 알려진 14-3-3 단백 검사는 위양성률이 높아 보조적인
가치를 지니고 있다고 평가 받고 있다. 최근 수년간 real-time quaking-induced conversion (RT-QUIC)
등 새로운 진단 방법이 개발되었지만, 아직 국내에서는 활발히 사용되지 않고 있는 실정이다. 이에 sCJD의
조기 발견과 진단은 아직까지 진단학적으로 어려움이 있다.
2006년 경 G.D. Rabinovici 가 보고한 바에 따르면, CJD로 최종 진단된 114명의 환자 중 가장 흔한 초기
증상은 인지 기능 장애(40%)로, 그 중에서도 기억력 장애를 가장 흔하게 호소하였으며 보행 장애나 운동
실조 등 소뇌 기능 장애를 호소하는 환자가 약 22%로 그 다음으로 흔한 양상이었다. 본 증례와 유사한
운동 기능 장애를 호소한 환자는 9%로, 추체외로 증상을 호소한 환자는 그 중에서도 25%였다.
이외에도 감각 증상과 복시 등 시각 증상을 초기 증상으로 호소하는 환자들도 보고된 바가 있으며,
피로감과 수면 장애 등 비전형적인 증상을 보이는 환자도 있어 반드시 기억력 장애 등 인지기능 장애가
뚜렷한 초기 증상으로 나타나는 것은 아니라고 보여지며, 증상이 비전형적이고 급성으로 악화되는 경우
반드시 초기에 CJD에 대한 고려가 필요하다는 것을 염두해야 할 것이다.